AML与MSC来源的外泌体对MDS细胞株生物学特性的影响及机制研究
骨髓增生异常综合征(myelodysplastic syndromes,MDS)是一组起源于造血干细胞的恶性克隆性疾病,主要表现为难治性血细胞减少、造血功能衰竭,高危组MDS患者有向急性髓系白血病(Acute myelogenous leukemia, AML)转化的高风险。目前,异基因造血干细胞移植(allo-HSCT)是高危组MDS患者最好的治疗方案,但其来源仍是亟需解决的问题。而间充质干细胞(Mesenchymal stem cell,MSC)是一种多能造血干细胞,在多种疾病的干细胞治疗中发挥着重要的作用。此外,外泌体(exosome)是由细胞内多泡体(multivesicular body,MVB) 与细胞膜融合后,释放到细胞外基质中的,一种直径为30-100nm的脂质包裹体结构膜性囊泡,内部包裹了蛋白、mRNA和microRNA等物质。几乎所有类型的细胞,都可以产生并释放外泌体,其天然存在于体液中,包括血液、唾液、尿液和母乳。外泌体通过循环系统到达其他细胞与组织,产生远程调控作用,被认为是细胞间交流的媒介,可影响疾病的的发生,发展和预后等。
在本工作中,研究团队通过共培养后发现AML细胞株来源的外泌体抑制MDS细胞株的增殖、阻滞细胞周期进展、促进细胞凋亡和分化以及可致MDS细胞分泌更多的TNF-α和ROS。而间充质干细胞来源的外泌体可抑制MDS细胞的增殖、阻滞细胞周期进展、促进细胞凋亡、抑制细胞分化以及释放更多的IL-6。
本工作探究了AML与MSC来源的外泌体如何影响MDS细胞株生物学特性,以期探讨外泌体在MDS疾病进展中的作用机制,为临床精准诊疗MDS提供新的思路和理论依据。
A

B

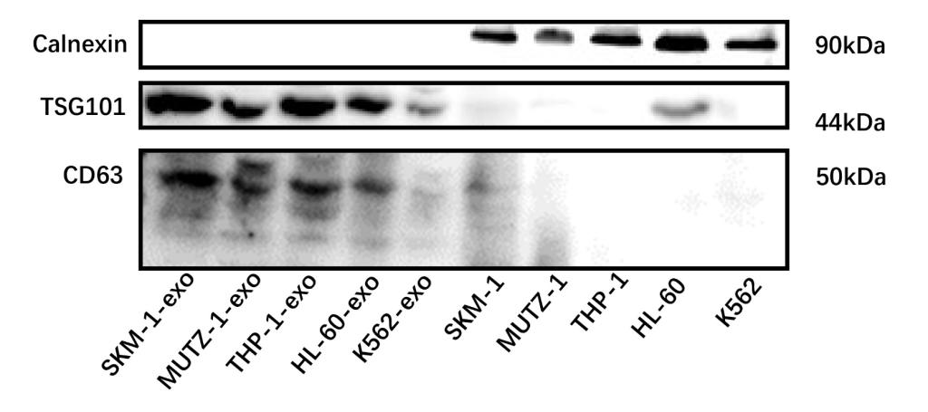
C

D

图1.透射电子显微镜下外泌体的形态特点(A);纳米粒子追踪分析显示粒子大小分布(B);蛋白质印迹分析外泌体和细胞裂解产物上的标志性蛋白(C);流式细胞术检测外泌体的标志性蛋白(D)
A



B

C

D

E

F

G


图2.AML细胞株的来源外泌体对MDS细胞株增殖的影响(A);AML细胞株来源的外泌体对MDS细胞株增殖、分化的影响(B);AML细胞株来源的外泌体对MDS细胞株周期的影响
(C);AML细胞株来源的外泌体对MDS细胞株凋亡的影响(D);AML细胞株来源的外泌体致MDS细胞株细胞因子的变化(E);AML细胞株来源的外泌体使MDS细胞株释放Caspase3蛋白的情况(F);AML细胞株来源的外泌体使MDS细胞株释放ROS的情况(G)
A

B

C

D

E


图3.间充质干细胞来源的外泌体对MDS细胞株增殖的影响(A);间充质干细胞来源的外泌体对MDS细胞株增殖、分化的影响(B);间充质干细胞来源的外泌体对MDS细胞株周期的影响
(C);间充质干细胞来源的外泌体对MDS细胞株凋亡的影响(D);间充质干细胞来源的外泌体致MDS细胞株细胞因子的改变(E)

图4.AML细胞株来源的外泌体影响MDS的转化模式图
王宏伟和任方刚是该论文的共同通讯作者。刘晓丽是该论文的第一作者。该项目获得血液病分子诊疗山西省重点实验室以及山西省归国留学基金的资助。
[1]Adès L, Itzykson R, Fenaux P. Myelodysplastic syndromes[J]. Lancet (London, England), 2014, 383(9936): 2239-2252.
[2]Cazzola M. Myelodysplastic Syndromes[J]. The New England Journal of Medicine, 2020, 383(14): 1358-1374.
[3]Estey E, Hasserjian R P, Döhner H. Distinguishing AML from MDS: a fixed blast percentage may no longer be optimal[J]. Blood, 2022, 139(3): 323-332.
[4]Estey E, Hasserjian R P, Döhner H. Distinguishing AML from MDS: a fixed blast percentage may no longer be optimal[J]. Blood, 2022, 139(3): 323-332.
[5]Zhang Y, Wu J, Qin T, Xu Z, Qu S, Pan L, Li B, Wang H, Zhang P, Yan X, Gong J, Gao Q, Gale R P, Xiao Z. Comparison of the revised 4th (2016) and 5th (2022) editions of the World Health Organization classification of myelodysplastic neoplasms[J]. Leukemia, 2022, 36(12): 2875-2882.