第二临床医学院神经内科薛国芳课题组首次观察到新型GLP-1/GIP双受体激动剂DA3-CH具有抑制癫痫发生的神经保护作用

图1
薛国芳课题组首次观察到新型GLP-1/GIP双受体激动剂DA3-CH具有抑制癫痫发生的神经保护作用,研究成果“The novel GLP-1/GIP dual receptor agonist DA3-CH is neuroprotective in the pilocarpine-induced epileptogenesis rat model”于2019年5月7日收录于《Epilepsy Research》(图1)。
癫痫是最常见的神经系统疾病之一,影响全球高达1%的人口。发达国家的终身癫痫发病率中位数为5.8‰,发展中国家为10.3‰。癫痫由多种多样的病因引起,表现为大脑神经元超兴奋性和超同步性异常放电,以自发性复发性癫痫发作(recurrent spontaneous seizures, SRS)为特征。癫痫持续状态(status epilepticus , SE)是癫痫发作最严重的形式,易诱发癫痫发生,进展为慢性癫痫,出现SRS。癫痫发作指一簇神经元过度放电激发的一次短暂临床发作,而癫痫发生指致痫灶形成和成熟的慢性过程。目前可获得的临床一线抗癫痫药物(antiepileptic drugs, AEDs)对近三分之一的癫痫患者无效或产生不可耐受的副作用,其主要干预神经元功能,调控突触兴奋和突触抑制,仅可控制癫痫发作,并不能阻止癫痫发生。因此,抑制癫痫发生可能是一种潜在的新型治疗策略。
癫痫发生被定义为大脑由正常生理状态转变为致痫状态的慢性动态演变过程,其可由多种初始事件或危险因素诱发,例如癫痫持续状态、创伤性脑损伤、脑卒中、感染和化学神经中毒等,经过复杂多样的病理生理学变化,最终导致局部神经元结构和功能紊乱,致痫灶逐渐成熟,形成慢性癫痫。传统AEDs 的分子靶点为抑制神经元的异常放电及扩散,并不能阻止神经元破坏的病理过程,而后者是导致 SRS 的原因。基于动物及人类癫痫的研究,癫痫发生的病理生理学动态变化包括离子通道激活、炎症和神经胶质反应、兴奋毒性细胞凋亡、血脑屏障破坏、表观遗传失调、神经变性和轴突生芽、苔藓纤维发芽、原纤维性神经胶质增生、海马硬化等。其中,神经炎症反应和细胞凋亡属癫痫发生的始动因素,且参与癫痫发生的整个过程,在癫痫发生中具有关键作用。
胰高血糖素样肽-1(glucagon-like peptide-1, GLP-1)和葡萄糖依赖性促胰岛素样肽(glucose-dependent insulinotropic polypeptide, GIP)均属肠促胰岛素,可促进胰岛素分泌,抑制胰高血糖素分泌,其类似物已用于2型糖尿病的治疗,且其降糖作用呈葡萄糖依赖性。近年的研究发现,GLP-1和GIP还具有神经保护作用,在卒中、阿尔茨海默病(Alzheimer's disease, AD)、帕金森病(Parkinson's disease, PD)等神经系统疾病动物模型中可通过抑制神经胶质细胞激活和促炎因子释放、抑制氧化应激和细胞凋亡等方面发挥神经保护作用,且GLP-1/GIP双受体激动剂的作用优于选择性单受体激动剂。
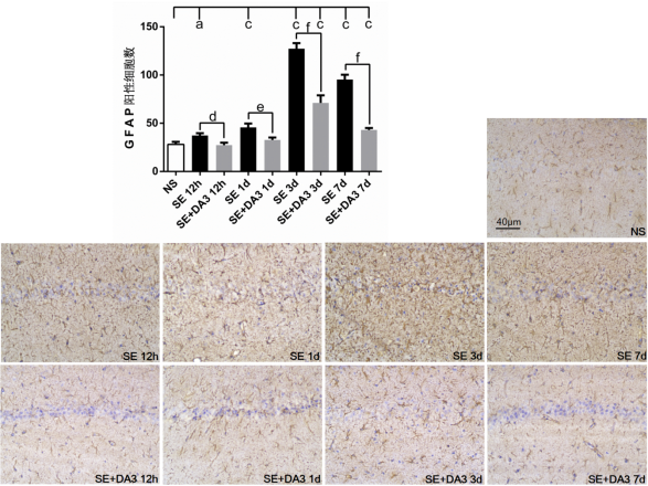
研究采用经典的匹罗卡品SE模型诱发癫痫发生,给予新型GLP-1/GIP双受体激动剂DA3-CH进行干预,通过免疫组织化学和蛋白印迹分析方法检测SE后12h、1d、3d、7d大鼠尾静脉空腹血糖水平以及海马中星形胶质细胞激活标志物胶质纤维酸性蛋白(glial fibrillary acidic protein, GFAP)、小胶质细胞激活标志物离子钙接头分子-1(ionized calcium-binding adaptor molecule-1, Iba-1)、促炎因子白细胞介素-1β(interleukin-1β, IL-β)和肿瘤坏死因子-α(tumor necrosis factor-α, TNF-α)、凋亡相关蛋白Bax和Bcl-2、神经元核抗原NeuN(neuronal nuclei)的表达水平,评估DA3-CH对大鼠SE后神经炎症反应、细胞凋亡和神经元丢失的影响。研究结果表明,DA3-CH干预对非糖尿病大鼠血糖水平无影响(图2),且可抑制SE后GFAP、Iba-1、IL-1β、TNF-α、Bax的表达,同时促进SE后Bcl-2、NeuN的表达(图3-6)。研究结果表明,新型GLP-1/GIP 双受体激动剂 DA3-CH 可抑制匹罗卡品诱导的大鼠SE后神经炎症反应、细胞凋亡和神经元丢失,具有抑制癫痫发生的潜在神经保护作用,可能为探索抑制癫痫发生的新型治疗策略提供实验基础。

图2各组大鼠空腹尾静脉血糖水平

图3各组大鼠海马CA1区GFAP阳性细胞数及免疫组织化学图片(×200)

图4各组大鼠海马CA1区Iba-1阳性细胞数及免疫组织化学图片(×200)

图5各组大鼠海马CA1区NeuN阳性细胞数及免疫组织化学图片(×200)

图6各组大鼠海马组织GFAP、Iba-1、IL-1β、TNF-α、Bax、Bcl-2和NeuN相对OD值及western blot蛋白条带
薛国芳副主任医师为通信作者,田淼晶硕士为第一作者,王瑞芳硕士、Christian Hölscher教授、米茹麟硕士、袁振宇硕士及李东芳主任医师为共同作者。本课题承蒙国家自然科学基金和中国抗癫痫协会癫痫科研基金-UCB基金等资助。