邓志华课题组报道异体肝星状细胞诱导扩增Treg细胞治疗自身免疫性肝炎小鼠的实验研究
近日,万象城allwincity官网第二临床医学院邓志华课题组在Biochemical and Biophysical Research Communications在线发表了题为“Adoptive transfer of regulatory T cells stimulated by Allogeneic Hepatic Stellate Cells mitigates liver injury in mice with concanavalin A-induced autoimmune hepatitis”的研究论文。
自身免疫性肝炎(Autoimmune hepatitis,AIH)是一种免疫介导的肝病,发病机制涉及遗传、环境等因素,最终肝脏免疫耐受被打破,引起肝脏自身免疫反应,出现肝脏炎症坏死,并可进展为肝纤维化、肝硬化。自20世纪50年代首次应用泼尼松(联合应用或不联合硫唑嘌呤)治疗以来,这一标准疗法已保持数十年不变,但停药后病情极易复发甚至恶化。因此,研究新的治疗策略控制AIH进展具有重要临床意义。
AIH患者体内的调节性T细胞(Regulatory T cells, Treg)数量减少、功能缺陷,在疾病活跃期更为明显。Treg细胞是重要的免疫调节细胞,可以特异性抑制活化T细胞,且该抑制作用无MHC限制性,FoxP3是Treg细胞分化和发育的关键基因,有理由认为过继转移Treg细胞治疗AIH是替代或协同糖皮质激素及免疫抑制剂的有效方法,如何有效扩增Treg细胞并在体内发挥免疫调节功能,是目前研究的重点和难点。
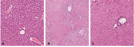
邓志华课题组查阅大量文献资料,发现肝星状细胞(HSC)在肝纤维化中发挥关键作用,此外近年研究还发现HSC具有免疫细胞特征,直接参与肝脏的免疫调控,但由于HSC是肝脏的非实质细胞,数量极少,分离小鼠原代HSC非常困难,限制了其研究进展。课题组经过不断摸索研究,运用OptiPrep分离液结合原位手工灌注法分离到BALB/c小鼠高纯度高得率的原代HSC,倒置荧光显微镜下观察:新分离的HSC呈圆形,具有丰富的脂滴,在328nm波长的紫外光激发下自发蓝绿色荧光,逐渐从圆形变为梭形或星形,培养7d后,伸出细长的伪足。原代HSC油红O染色阳性,胞浆中的脂滴呈红色,细胞核呈蓝色,传2代后免疫细胞化学染色HSC完全表达α-SMA和Desmin,自发活化。课题组进一步将BALB/c来源的HSC与C57BL/6小鼠脾脏来源的Treg细胞共培养,观察HSC对Treg的诱导作用,异体活化的HSC可在体外呈剂量依赖性、通过细胞-细胞直接接触方式诱导Treg增殖,扩增的Treg可有效表达FoxP3,在体外可有效抑制Teff细胞增殖。为进一步证实扩增的Treg的免疫调节活性,将扩增的Treg通过尾静脉注射到ConA诱导的AIH小鼠体内,观察其对AIH小鼠受损肝脏的影响,发现扩增的Treg可调节AIH小鼠脾脏Treg/Th17比例失衡,肝脏炎症和肝细胞坏死明显减轻[图2],血清ALT、AST水平IL-6、TNFα、IFN-γ水平降低,发挥了良好的治疗作用。该课题为寻找替代糖皮质激素/硫唑嘌呤治疗AIH的免疫细胞疗法提供了可靠的实验研究结果。

图1分离的原代肝星状细胞倒置荧光显微镜下自发蓝绿色荧光(A)和油红染色(B)图片

图2过继转移体外扩增的Treg细胞后AIH模型小鼠肝脏病理变化(A:正常肝脏B:AIH模型肝脏C:过继转移Treg后肝脏)
上述工作主要由万象城allwincity官网第二临床医学院邓志华课题组的博士研究生黄会芳(单位:万象城allwincity官网第一医院消化科)完成,邓志华为通讯作者。