第二临床医学院王宏伟课题组发现造血前B细胞白血病转录因子相互作用蛋白(HPIP)促进白血病进展
急性白血病(Acute Leukemia, AL)是由一系列突变事件引起的高度异质性疾病,具体发病机制未明,其特征是白血病细胞恶性克隆性增生,分化障碍,凋亡受阻,并在骨髓、血液和其他组织中大量蓄积,影响了正常的造血功能。根据累及细胞的不同,AL又可分为急性淋巴细胞白血病(ALL)和急性髓系白血病(AML)。ALL在儿童患者中常见,其发病年龄通常是2-5岁,发病率为 4.2/100,000 例,占所有小儿白血病的76-80%;成人ALL发病率为1/100,000,但成人患者的长期存活率明显更差。而AML在成人患者中常见,且发病率随着年龄增长逐渐增加。
AL患者的常规治疗手段是化疗和造血干细胞移植,但缓解后复发、治疗相关耐药和难治性白血病仍然是不可攻克的难题,因此探究AL的发生发展机制及开发新的靶向药物对提高和改善患者预后和长期生存有重要意义。
HPIP是前B细胞白血病同源序列1(PBX1)的辅助抑制因子,同时也是一个细胞骨架蛋白,在子宫内膜癌、结直肠癌等恶性实体肿瘤中扮演癌基因角色;在造血系统中的研究尚无定论。
万象城allwincity官网第二临床医学院血液病分子诊疗山西省重点实验室王宏伟课题组在2018-2023年首次在患者、细胞、动物水平研究了HPIP在AL中的生物学作用,首次在HPIP高表达的AL细胞模型上证明了奥米帕利西布和克唑替尼联合阿糖胞苷与柔红霉素(DA)的化疗方案优于DA,首次利用Fgd5-CreERT2小鼠构建了造血干细胞特异性基因敲入和基因敲除小鼠模型。
课题组对35例B-ALL、6例T-ALL和112例AML患者骨髓的HPIP表达进行检测与临床特征及预后分析,证明了高表达HPIP的AL患者预后不良。通过慢病毒感染构建细胞模型,证明了HPIP高表达时通过活化AKT通路、ERK通路、微管活动通路蛋白和耐药蛋白对AL细胞发挥促增殖、抑凋亡、提高细胞耐药性的生物学作用。克唑替尼或奥米帕利西布无论单药还是联合DA均可显著降低HPIP表达,抑制AL细胞增殖。
课题组进一步构建造血干细胞特异性敲入和敲除HPIP基因的小鼠模型,证实了HPIP可促进骨髓粒系、淋巴系细胞增殖的作用;并发现HPIP使小鼠肝脾白细胞浸润,脾脏肿大明显。
此部分内容为博士论文研究内容之一,受国家自然科学基金面上项目(81670126)、山西省卫生计生委科研资助项目(2017060)、山西省研究生教育创新项目(2C592020019)资金资助,尚未发表。
 |
图1. 不同药物组合对HPIP高表达的白血病细胞的增值抑制率比较。 |
 |
 |

|
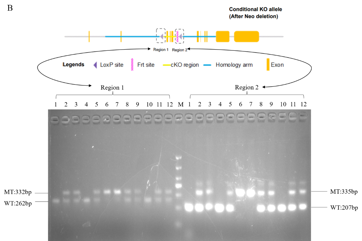
图2. 转基因小鼠的基因靶向策略及繁育策略。 |
|
 |
图3. HPIP使小鼠肝脏白细胞浸润 。 |