首页 -> 正文

学术动态

中字号

优秀博士学术成果系列展示(2022-54)

发布时间 :2022年06月20日 编辑 : 浏览量 :

临床二系武壮壮揭示Necdin在骨肉瘤中的功能及其作用机理

骨肉瘤(Osteosarcoma, OS)是最常见的原发性恶性骨肿瘤,发病年龄多集中在青少年,发病率为每年每百万人3 - 4例,好发部位为四肢干骺端,因为其恶性程度高、侵袭性强、复发转移率高[1-3],所以严重影响青少年的健康。近年来,随着术前化疗,术后继续化疗方案的提出以及手术方法、技术材料的不断改进,治疗效果明显提高,但局部复发率仍可高达50%。在初次检查时大概15% - 20%的骨肉瘤患者影像学上就可以看见肺转移病灶,在治疗期间约有50%的患者出现肺转移,80%的患者在发生肺部转移后5年内死亡[4-5]。但目前临床上缺乏有效的治疗方法,来减少或者避免复发和肺转移,其主要原因是OS的病因和发病机制尚不明确。

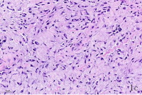
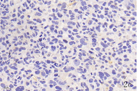
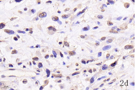
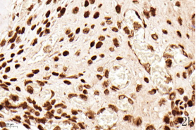
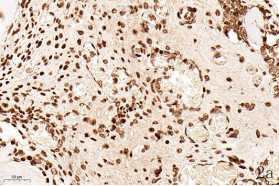
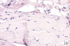
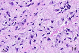
NDN(Necdin)属于黑色素瘤抗原(MAGE)家族,由60多个基因构成共享高度保守的MAGE同源结构域(MHD)[6,7]。最近几年的研究提出NDN是一种新的抑癌基因,其在卵巢癌[8]、乳腺癌[9]和黑色素瘤[10]等的组织和细胞系中低表达,过表达NDN可以抑制其生长,但NDN在骨肉瘤中的作用及机制尚不清楚。为探讨NDN在骨肉瘤中的作用及途径,我们收集了骨肉瘤患者的石蜡标本以及临床信息,对其进行了免疫组化检测及生存分析通过对骨组织和骨肉瘤HE染色发现,骨组织组,骨密质呈板层状,陷窝中可见骨细胞呈梭形排列( 图1 a 1b) ;骨肉瘤组,瘤细胞呈多角形,核大深染,核分裂多见,瘤细胞呈车辐状排列,瘤细胞间可见少量肿瘤性骨质形成(图1c1d)。同时通过免疫组化发现,NDN表达主要位于细胞的胞核中。NDN在骨肉瘤组织中的表达率为29.4%(15/51)(图1c1d),明显低于瘤旁骨组织阳性表达率80%(8/10)(图1a1b)。

另外我们通过细胞实验和裸鼠体内实验进一步明确了NDN骨肉瘤细胞生物学行为的影响;我们还检测了高表达NDN后,癌基因c-myc以及肺转移指标MMP2和MMP13的表达降低,还检测到细胞早凋增多以及侵袭减少;最后我们初步探索了NDN调控c-Myc表达的作用机制研究为深入了解骨肉瘤侵袭转移提供了一定基础。

武壮壮为该课题的带领人。该课题得到了国家自然科学基金、山西省自然科学基金、万象城allwincity官网第二医院青年基金、山西省基础研究计划(自由探索类)基金的资助

版权所有@万象城allwincity官网研究生学院 技术支持:万象城allwincity官网网络中心