首页 -> 正文

学术动态

中字号

优秀博士学术成果系列展示(2021-42)

发布时间 :2021年06月16日 编辑 : 浏览量 :

第二临床医学院苏丽萍教授课题组发表免疫肿瘤治疗时代原发性胃弥漫大B细胞淋巴瘤的预后因素的研究

第二临床医学院苏丽萍教授课题组在Turkish Journal of Hematology上发表了题为 “Primary gastric diffuse large B-cell lymphoma: Prognostic factors in the immuno-oncology therapeutics era” 的研究论文。苏丽萍课题组博士研究生白志敏是该篇论文的第一作者,苏丽萍教授是通信作者。

原发性胃弥漫大B细胞淋巴瘤(PG-DLBCL)是一种罕见的异质性胃恶性肿瘤,但却是原发结外非霍奇金淋巴瘤最常见的亚型。既往研究发现PG-DLBCL的总体预后与肿瘤特性及宿主相关因素有关,如肿瘤的组织学亚型、年龄及患者的营养状况等。随着免疫治疗新疗法的出现,十分有必要从宿主免疫功能的角度评估PG-DLBCL的预后。

本研究使用确诊24个月后的无事件生存及后续总生存期作为研究的主要终点,回顾性分析了PG-DLBCL的临床特征,确定了低水平的CD4/CD8与较差的后续总生存期有关,且代表宿主免疫力的CD4/CD8比值优于PG-DLBCL的其他预后因素,这可能有助于筛选患者进行临床免疫肿瘤治疗。

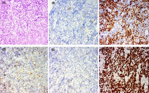
1-1 PG-DLBCL的组织病理及免疫组织化学染色

注:A. H&E染色B. CD10表达(-)C. Bcl-6表达(+)D. 30%MUM1表达(+)E. 10%Bcl-2表达(+)F. Ki67呈弥漫性强(+)

1-3 PG-DLBCL患者后续OS的预后因素


1-4PG-DLBCL患者后续OS相关的危险因素

Variable

Univariate Analysis

Multivariate Analysis

Mean survival of subsequent OS (months, 95%CI)

P value

RR 95%CI

P value

Sex





Female

48(39,58)

0.317



Male

41(31,50)




Lugano staging





I-II1

48(39,57)

0.244



≥II2

36(28,45)




IPI score





0-2

48(41,55)

0.030

Not significant


≥3

29(16,42)




Ki67





≤70%

39(27,52)

0.975



>70%

44(36,51)




β2-MG





normal

49(42,56)

0.005

Not significant


High

28(15,41)




CD4/CD8 ratio





normal

53(44,61)

0.029

3.26(1.06,10.06)

0.039

Low

36(26,46)




Albumin





≥35g/L

45(38,53)

0.179



<35g/L

39(28,50)




LDH





≤245U/L

48(41,55)

0.009

Not significant


>245U/L

27(15,40)




ALC





normal

45(38,53)

0.361



Low

34(21,47)




PS





<2

45(38,53)

0.372



≥2

Hans classification

GCB

non-GCB

39(24,53)

36(26,46)

44(34,54)

0.838



版权所有@万象城allwincity官网研究生学院 技术支持:万象城allwincity官网网络中心