公共卫生学院郝燕霞及其合作者在Neurotoxicity Research发文报道铝诱导小鼠脑组织“混合”细胞死亡和潜在的干预方式。
2019年10月4日,在Neurotoxicity Research(《神经毒性研究》)以“Aluminum-induced “mixed” cell death in mice cerebral tissueand potential intervention(铝诱导小鼠脑组织“混合”细胞死亡和潜在的干预方式)”为题,在线发表了万象城allwincity官网公共卫生学院郝燕霞及其合作者的关于铝导致小鼠脑组织发生凋亡和程序性坏死及其干预方式的新认识。
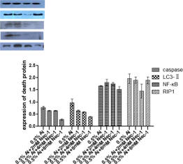
大脑是易受铝损害的器官之一。铝的毒性与神经行为缺陷、神经细胞功能障碍和死亡有关。本研究的目的是:1.评价细胞死亡抑制剂nec1和泛caspase抑制剂Z-VAD-FMK对铝诱导的神经行为缺陷和神经元细胞死亡的修复效果,以证明铝诱导细胞死亡的能力。2.初步探讨铝致痴呆动物模型中使用nec1和Z-VAD治疗阿尔茨海默病等神经元细胞丢失相关疾病的可能性。我们发现nec1和Z-VAD-FMK单独或联合使用可以减少铝诱导的小鼠学习和记忆障碍。病理组织学结果显示,nec1、Z-VAD-FMK可减少al诱导的神经元死亡细胞。此外,在铝暴露小鼠大脑中,nec1和Z-VAD-FMK可抑制细胞死亡信号通路中的一些细胞死亡相关蛋白。结论:nec1、Z-VAD-FMK可修复铝诱导的小鼠学习记忆损伤。与Z-VAD-FMK相比,nec1对学习记忆功能损伤的修复作用更明显。nec1、Z-VAD-FMK可修复铝诱导的细胞形态学损伤,减少死亡细胞数量,且剂量越大修复效果越显著。nec1的作用强于Z-VAD-FMK,但作用机制不同。他们的结合产生了最强的效果。我们的研究证实了al诱导的神经细胞坏死和凋亡在动物模型中存在,并提示了nec1和Z-VAD-FMK对神经退行性疾病中神经元死亡的潜在治疗作用。


公共卫生学院牛侨教授为本文的通信作者,公共卫生学院2017级博士研究生郝燕霞为本论文的第一作者。该研究得到国家自然科学基金委重点项目(81320078)资助。

