公共卫生学院李欢及其合作者在Nanomedicine发文报道氧化铝纳米颗粒对小鼠免疫系统的毒性
2020年3月12日,Nanomedicine(《纳米医学》)以“Toxicity of alumina nanoparticles in the immune system of mice(氧化铝纳米颗粒对小鼠免疫系统的毒性)”为题,在线发表了万象城allwincity官网公共卫生学院李欢及其合作者的关于纳米氧化铝对小鼠免疫系统毒性的新认识。
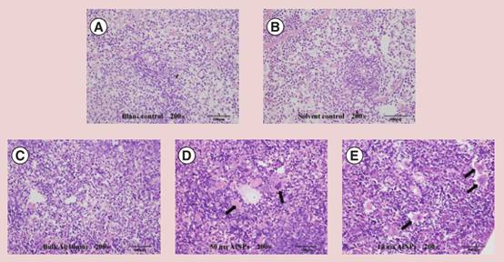
氧化铝纳米颗粒(AlNPs)对多个器官具有毒性作用。本研究旨在探讨AlNPs对免疫系统的毒性作用。应用CRi在体内荧光成像技术评价AlNPs的分布;电感耦合等离子体原子发射光谱法检测脾脏中铝的含量;在小鼠免疫器官和血液中检测到细胞因子的表达。AlNPs可在小鼠脾脏内积累,超氧化物歧化酶和谷胱甘肽含量随粒径减小而降低,丙二醛含量随粒径减小而增加。AlNPs暴露引起脾、胸腺和血清中细胞因子水平的变化,导致免疫器官堵塞和免疫细胞功能障碍,导致免疫相关细胞因子表达异常。



AlNPs可在小鼠体内暴露,并可在小鼠免疫器官内积聚,引起免疫器官氧化损伤和免疫细胞功能障碍,最终导致免疫相关细胞因子异常表达,对小鼠免疫系统产生毒性作用。
公共卫生学院牛侨教授为本文的通信作者,公共卫生学院2017级博士研究生李欢为本论文的第一作者。该研究得到国家自然科学基金委重点项目(81430078)和国家自然科学基金委面上项目(81241098、30972456)资助。