实验动物中心宋国华课题组在International Journal of Biochemistry and Cell Biology发文揭示miR-504在口腔鳞状细胞癌癌变中的作用机制
2020年2月,万象城allwincity官网实验动物中心宋国华实验室在“International Journal of Biochemistry and Cell Biology”期刊正式发表了题为“MicroRNA-504 functions as a tumor suppressor in oral squamous cell carcinoma through inhibiting cell proliferation, migration and invasion by targeting CDK6”的研究成果。
口腔鳞状细胞癌(oral squamous cell carcinoma,OSCC)是最常见的口腔癌,其发病率占全部口腔癌患者的90%以上。目前针对OSCC的预防和早期检测措施尚未完善,患者就诊时大多处于癌症中晚期阶段。由于肿瘤的转移和复发,晚期OSCC患者的手术及放化疗效果不佳。因此,深入阐明OSCC的发病机制,寻找新型疗法,有望提高患者的生存率。大量研究显示microRNA(miRNA)可作为癌基因或抑癌基因参与调控肿瘤的发生发展。但目前针对miRNA在人类OSCC中的作用机制了解甚少。课题组前期研究过程中已成功建立中国地鼠口腔鳞状细胞癌动物模型,并构建了miRNA差异表达谱,筛选出异常表达的miR-504。本研究的目的是探究miR-504对OSCC细胞生物学行为的影响,明确其在OSCC病变中的作用机制,以期为miR-504的临床应用提供更多的理论依据。
本研究揭示了miR-504在口腔鳞状细胞癌中发挥抑癌作用,其通过靶向CDK6抑制OSCC细胞增殖、生长、迁移和侵袭。miR-504的表达水平可能在OSCC的癌前诊断和预后预测中发挥重要作用。然而,miR-504与周期相关基因和自噬相关基因之间微妙而复杂的调控机制仍需大量研究加以验证。
该研究的主要结果有:
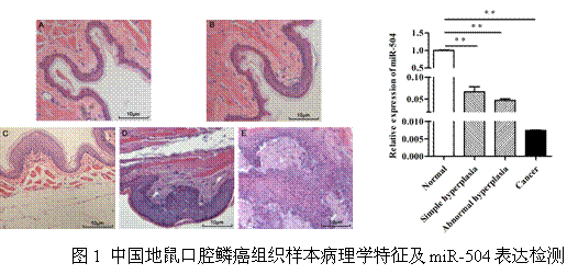
1 OSCC动物样本的病理特征及miR-504表达检测
根据中国地鼠口腔鳞状细胞癌动物模型组织样本的病理学特征将肿瘤的癌变分为四个阶段:药物诱导不同时间后中国地鼠的颊囊组织由正常上皮逐渐变为单纯增生的上皮组织,再到异常增生的上皮组织,并最终演变为口腔鳞状细胞癌(原位癌)。在不同病变阶段的动物组织样本中miR-504的表达随着肿瘤的不断恶化逐渐降低(图1)。

2 miR-504表达对OSCC细胞生物学行为的影响
在人类OSCC细胞系Cal27与Tca8113中,通过脂质体转染技术过表达OSCC细胞中的miR-504。结果显示miR-504过表达能够显著抑制OSCC细胞的增殖、生长、迁移和侵袭,但对OSCC细胞凋亡无明显影响(图2、图3、图4)。



3 miR-504靶基因验证及其在OSCC细胞中的机制研究
生物信息学软件预测CDK6为OSCC中miR-504的潜在靶标。双荧光素酶报告实验证实CDK6为miR-504的直接靶标,且miR-504与CDK6的表达呈负相关。miR-504过表达可显著抑制OSCC细胞中细胞周期相关蛋白E2F1与CyclinD1表达,促进p21蛋白表达。同时,miR-504过表达还可抑制OSCC细胞中细胞自噬标志基因Beclin1蛋白表达(图5)。

基础医学院2018级硕士研究生王晓堂、2016级硕士研究生常凯与实验动物中心高继萍老师为论文的共同第一作者,宋国华教授为通信作者。本研究在国家自然科学基金(31970513和31772551)资助下完成。
原文链接:https://www.sciencedirect.com/science/article/pi
i/S1357272519302407?via%3Dihub