万象城allwincity官网第一医院成功诊治罕见急性间歇性卟啉病,新致病位点c.1078_1132del为ClinVar收录
罕见病,又称“孤儿病”,泛指一类发病率极低的疾病。2018年5月22日,国家卫生健康委员会为首的5个部门联合制定了《第一批罕见病目录》,卟啉病是目录之一。
急性间歇性卟啉病(Acute Intermittent Porphyria,AIP,MIM # 176000)是一种常染色体显性遗传的疾病,是由HMBS酶缺陷引起的卟啉病。由于疾病的罕见性和复杂性,即使医疗发达的国家,在临床工作中也容易被误诊和漏诊。
万象城allwincity官网第一医院内分泌科在杨静教授的带领下于2016年成功诊治急性间歇性卟啉病1例(先证者),并对该患者予以基因水平的确诊,其对其家系予长期生活指导和随访。经测序分析,该患者在责任基因HMBS上发现一新突变位点C.1078_1132delGCCCATTAACTGGTTTGTGGGGCACAGATGCCTGGGTTGCTGCTGTCCAGTGCCT(简称C.1078_1132del),该突变位点尽管删除了55个碱基,但删除位点靠近基因末端,本团队对其致病性进行了进一步判读。
该突变作为致病突变为ClinVar数据库收录(https://www.ncbi.nlm.nih.gov/clinvar/submitters/506477/)。
1先证者资料
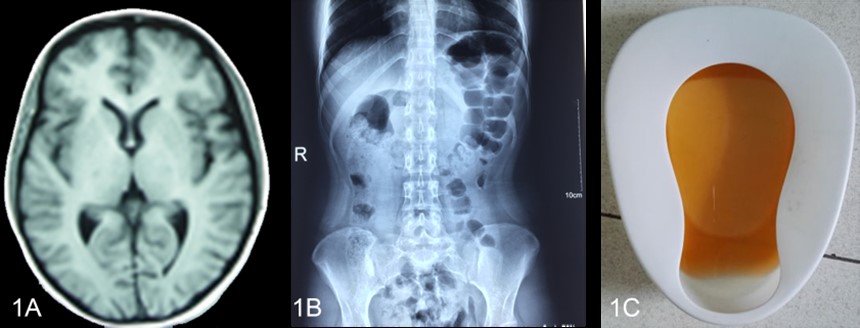
先证者2016年4月开始发病,先后多家医院诊断为“胃肠炎”、 “不完全肠梗阻”、“癫痫”,并伴有低钠血症、低钾血症、高胆红素血症、持续性的下肢无力和疼痛,窦性心动过速,高血压、贫血、肝损伤,胰酶升高。在住院期间,曾排出棕色尿液促进了对AIP的诊断。最终,尿PBG阳性和尿铅阴性确认了AIP。

A 头颅MRI显示正常 B腹部平片示肠胀气 C 棕色尿液
图1-1 先证者发作的临床资料

图1-2 先证者发作病史
2先证者DNA基因测序结果分析
在先证者及其家系的DNA基因检测中发现了一个杂合突变C.1078_1132del,该突变在HMBS基因3’端一个的突变点,该突变删除了55个碱基对,删除的碱基囊括了编码区的最后6个碱基、终止密码子丢失和3’非编码区的46个碱基,理论上可能造成了读框移码、终止密码子的缺失,3’UTR损害,导致严重损害。新的突变导致HMBS蛋白发生巨大变化,预测的氨基酸从第360个氨基酸发生了变化(红色)。

图2
3突变效应预测分析结果

图3
由软件预测突变效应,该突变可能会导致氨基酸序列改变、框移突变、剪切点位置改变,在突变后的HMBS基因序列,直到最后一个碱基,未发现新生成的终止密码子,如果这些碱基均可以顺利翻译的话,可获得一个延长为432个氨基酸的蛋白,与野生型蛋白序列相比,原有的A360和H361两个氨基酸丢失,另外增加了73个氨基酸。进一步分析提示突变蛋白的延长的尾巴可能影响了原有的催化结构域。
该项工作体现了精准医疗的理论与实践。对本突变位点致病性的诠释丰富了基因突变库,并进一步证实了该病多数突变具有“家族特异性”,在临床上有助于指导基因携带者的家属避免诱因,防治发病。生物信息软件的应用,为该团队进一步功能验证工作奠定了坚实基础。
该工作于2018年9月在线发表于学术期刊Medicine,题为“A novel 55-basepair deletion of hydroxymethylbilane synthase gene found in a Chinese patient with acute intermittent porphyria and her family”(DOI: 10.1097/MD.0000000000012295)。杨静是本文的通信作者,任毅为第一作者。